{'en': 'Allergic reaction with the freestyle patch', 'es': 'Reacción alergica con el parche freestyle'} Image

Allergic reaction with the freestyle patch

  
Josu
06/22/2018 10:07 a.m.

Good morning,

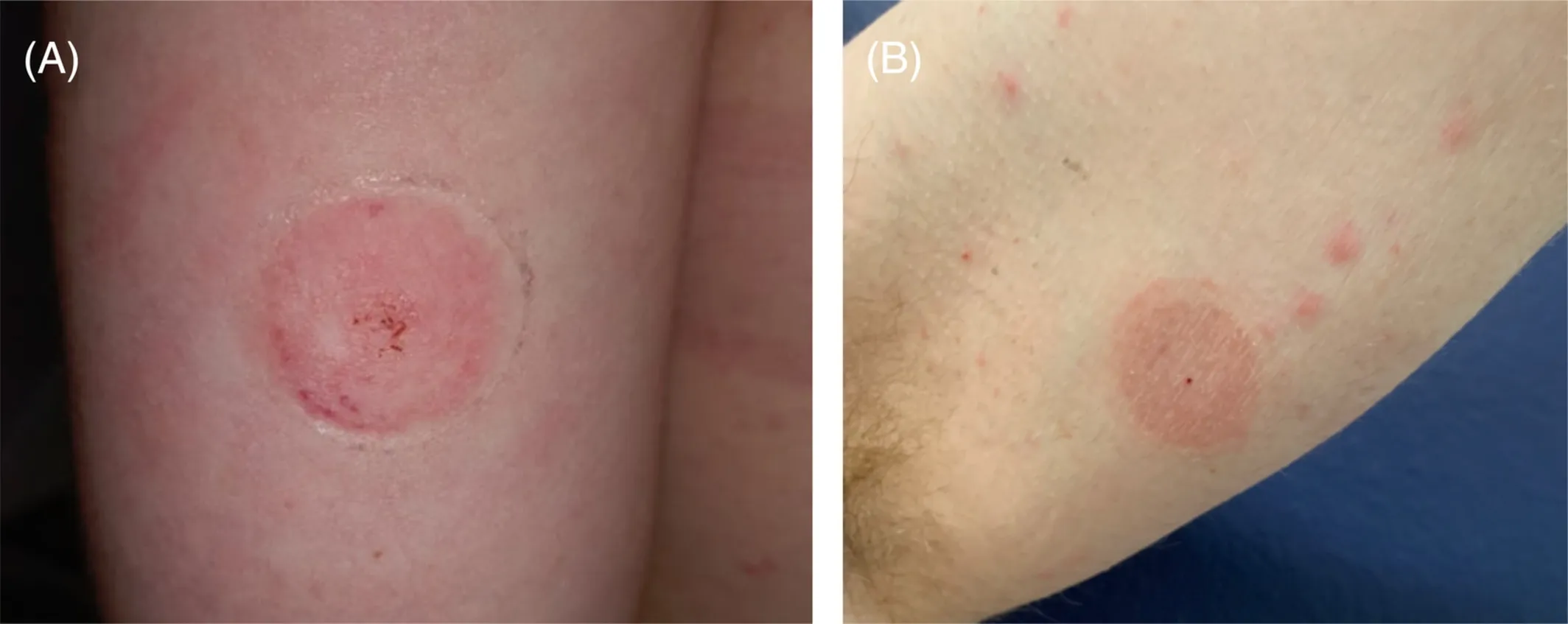
I come to tell a little what happened to me the last month.I have use Freestyle's patches since February 2015 and in the last month I had to remove two.I tell you:

A month ago I put the patch on my left arm (always alternate), I always put it on the forearm.And 4 days after having put it, I started giving me bad readings almost always very low until it stayed totally in it.

Then speak with Abbot and without problem they replaced me.Apart I noticed that it bothered me when I touched the patch or sport and so on.Then the surprise was when I take it away from me to have it on me.

He had quite red and swollen and had an infection, suppurate a bit too.I did not give more importance thinking that it would be a timely thing, I went to the Emergency Department and gave me an antibiotic ointment and without further it heals.In turn, I put another patch on the right arm and all correct during the next 14 days.

Now comes the second part, since I still had a slightly regular left arm, I repeated for the first time the side where I put on the patch, try not exactly in the same place where I had the previous one.

Here comes the issue, again like 3/4 days I started giving me low readings and it hurt.When I moved my arm or touched my patch with anything it hurt.

He speaks again with Abbot and they will replace it again and followed by talking to them take it away because I couldn't stand it anymore.In turn, I speak with my diabetes educator and I told me that another patient was also happening to him and that they had tried different methods but none valid.

The conclusion was like that they have changed the glue and that some of its components give us allergy.

I have been investigating for English forums and so online and I have seen that people use from competed, to antialergic pills and as protective ointments.

And what has convinced me most is the last thing and investigating I have found the following Cavilon Spray Skin protector 28ml.

Here comes the question:

Has any of you/you spent something similar?

Any solution?

I'm sorry for the sheet

Thank you ;)

Diagnosticado en 2015/12.
Tipo 1. Libre1 desde 02/2016/Libre2 desde 06/2020
Toujeo 14
Dieta por Raciones +0- Novorapid 2/4/4
Último control hemoglobina: 5,6
33 años

  
erpla
06/22/2018 11:24 a.m.

They give me allergy but I have never been infected ... and I also do not give me some patches yes, and others have not happened to me that due to the glue me bad readings.And it will not be that the site is infected by insertion?That it is the filament itself that is causing the infection and that that is what you give you bad readings?
In my case, what has worked best for me is a hydrocoloide dressing under the sensor either competed or now some of Hansaplast (anti-redness), you make a hole so that between the filament and that's it.

DMT1 desde 1994, Bomba de insulina desde 2016, Freestyle+Miaomiao+Xdrip, última Hemo 5.8%

  
Josu
06/22/2018 11:49 a.m.

Hello,
I had not thought about the filament, but of the two only one was infected and then they have told me that by the allergy you may have also infected, something that I do not know hehe.If it is true that they bother me I want to tell me to give me Low all the time and that is weird because people even hurt or have an allergic reaction continues to work properly.I will look at several options such as changing the site to put on the patch or try what you have told me.The type of dressing you use is something like that?
Link

Let's see if I find a solution.
Thank you very much for your answer

Diagnosticado en 2015/12.
Tipo 1. Libre1 desde 02/2016/Libre2 desde 06/2020
Toujeo 14
Dieta por Raciones +0- Novorapid 2/4/4
Último control hemoglobina: 5,6
33 años

  
erpla
06/22/2018 1:27 p.m.

That is not I bought it at the Amazon but now I do not see it, to see if it lets me copy the image .....
If not, the same competition is worth it
Link aciaencasaonline.es%2fhansaplast-protetor-of-Razaduras

DMT1 desde 1994, Bomba de insulina desde 2016, Freestyle+Miaomiao+Xdrip, última Hemo 5.8%

  
sigsauer
06/24/2018 12:24 a.m.

@Josu I do not advise you in summer, I tried it and although some of them went well with moisture, heat, sweat and baths dilate and the filament ends up getting out and the sensor ends up giving error.-

Now I use how @erpla hansaplast antirozaduras has told you and it is much better to avoid allergies although as you have commented in the center where the filament is (I make a small hole) if there is one day in which I have a kind of burnSmall like this.-

The Hansaplast Antirozaduras can be found or asking in any pharmacy I have even seen for sale in BM supermarkets;They are 2 dressings but if the shorts are worth 4 sensors.

No signature configured, add it on your user's profile.
  
aaandres
06/25/2018 7:30 p.m.

@Josu - Cavilon is a good product, but maybe you don't get you to get over 14 days.
My son used it for a year (with Descom).Then he stopped needing it.
Sometimes it is more a maceration than an allergy, because it is wet for showers, bathrooms or sweat.Try to have it dry to see if you improve.In fact, Hansaplast contributes to this.

Padre de Andrés, 17 años. Debut: septiembre de 2011.
Levemir (30ud. mañana y 24ud. noche) y Novorapid (en desayuno, comida, merienda y cena 40ud aprox - 24HC/día).
Medidor continuo DEXCOM G4 desde julio 2014
Hemo: 6.2 (Sept. 2013), 7.0 (Dic. 2013), 6.9 (Marzo 2014), 6,6 (Junio 2014), 6,7 (Sept. 2014), 7,0 (Dic. 2014), 7,7 (Mar 2015), 6,9 (Jul. 2015), 7,0 (Sept 2015), 7,4 (Dic 2015), 6,8 (Mar 2016), 6,6 (Julio 2016), 6,8 (Octubre2016)... 7,0 (Mar 2018)

  
Josu
06/26/2018 9:58 a.m.

Good morning,

Thanks for all the answers !!!!
@Aandres may have been a specific thing, for sweat, moisture ... more than an allergy, we will touch wood.Because I put the patch on Saturday and for the moment I do not notice anything and all the right readings.If it is true that I have put it back from the arm but I have been in a pool and beach without covering it or anything and everything correct.I was afraid to cover it in case I allergy.

At the moment I will continue as always and if I see that it gives me a problem I will tell you again.

Thank you very much for the responses !!!

Agurrrr

Diagnosticado en 2015/12.
Tipo 1. Libre1 desde 02/2016/Libre2 desde 06/2020
Toujeo 14
Dieta por Raciones +0- Novorapid 2/4/4
Último control hemoglobina: 5,6
33 años

  
cristinarustic
08/17/2023 4:06 p.m.

My son is happening with Freestyle 3, we have been using it for 4 months and has caused infection in the insertion zone, does anyone know if the material of the filament of 3 is different from 2 ???
Has anyone tried to get into sensor elsewhere?And if it works well
Thank you

No signature configured, add it on your user's profile.
  
diabestico
08/17/2023 4:33 p.m.

I with the freestyle 2 on my arm could not stand the itching, was to put it in gluteo and disappeared the problem

No signature configured, add it on your user's profile.
  
isabelbota
08/17/2023 10:32 p.m.

diabetic said:
me with the uestyle 2 in the arm I did not endure of the itching, it was to put it in gluteo and disappear the problem

Well, just the other way around.I put one in the buttock and began to chop.I think what chopped me was the physio tape, I had to remove it.And without a tape I got it at the first change and started.

DM 2 con páncreas agotado desde diciembre 2020. 51 años entonces.
HG diciembre 2020: 15.9. Última HG: enero 2025 6,1
Abasaglar 10 unidades. Metformina, 1000/0/1000. Humalog junior: 2 unid en desayuno y luego en función de lo que coma.

  
rosa3
08/18/2023 1:44 a.m.

The allergic reaction to the freestyle patch can vary in each individual, but some common symptoms may include:

Redness and swelling in the area where the patch was applied.
Intense itching on the skin.
Cutaneous eruption or appearance of small blisters.
Burning or pain sensation.
Dry peeling or skin in the affected area.

http://www.psicotipsve.com/

Join the Discussion!

To participate in this thread, please register or log in.

 

💙 Join the power of the community

Choose your store and the book edition. Your purchase helps this forum continue to grow and support people living with diabetes, their families and friends.

💙 No ads. Just real support. Every book counts — it’s more than a purchase, it’s a gesture of solidarity that keeps this community alive.

We’ll auto-select your country if available.
Book edition